MRI

  1. Image Upload 2
    119.The structure that the arrow labeled “A” is pointing to is the
    a. Stomach
    b. Liver
    c. Ascending colon
    d. Gall bladder
    D Gall bladder
  2. Image Upload 4
    120. The structure that the arrow labeled “A” is pointing to is the
    a. Spinal column
    b. Kidney
    c. Gall bladder
    d. Psoas muscle
    D Psoas muscle
  3. Image Upload 6
    121. The arrow labeled “A” is pointing to is the
    a. Glenoid process
    b. Corocoid process
    c. Superior glenoid labrum
    d. Inferior glenoid labrum
    A Glenoid process
  4. Image Upload 8
    122. The arrow labeled “c” is pointing to is the
    a. Inferior spinatous muscle
    b. Supraspinatous muscle
    c. Teres Major muscle
    d. Deltoid Muscle
    D Deltoid Muscle
  5. Image Upload 10
    123. The structure that the arrow labeled “B” is pointing to is the
    a. Glenoid process
    b. Corocoid process
    c. Superior glenoid labrum
    d. Inferior glenoid labrum
    D Inferior glenoid labrum
  6. Image Upload 12
    124. The structure that the arrow labeled “A” is pointing to is the
    a. Spine
    b. Esophagus
    c. Trachea
    d. Spinal cord
    B Esophagus
  7. Image Upload 14
    125. The structure that the arrow labeled “B” is pointing to is the
    a. Spine
    b. Esophagus
    c. Trachea
    d. Spinal cord
    C Trachea
  8. Image Upload 16
    126. The arrow labeled “8” is pointing to is the
    a. Lateral miniscus
    b. Fibula
    c. Episipheal plate
    d Distal femur
    C Episipheal plate
  9. Image Upload 18
    127. The arrow labeled “A” is pointing to is the

    a. Posterior longitudinal ligament

    b. Cauda equina

    c. Ligament flavum

    d. Conus

    D Conus
  10. Image Upload 20
    128. The arrow labeled “B” is pointing to is the
    a. Posterior longitudinal ligament
    b. Cauda equina
    c. Ligament flavum
    d. Conus
  11. B Cauda equina
  12. Image Upload 22
    129. The arrow labeled “A” is pointing to is the
    a. Subarachnoid space
    b. Cauda equana
    c. Thecal sec
    d. Conus
    A Subarachnoid space
  13. Image Upload 24
    130. The arrow labeled “B” is pointing to is the
    a. Thecal sac
    b. Cauda equana
    c. Lamina
    d. Psoas muscle
    B Psoas muscle
  14. Image Upload 26
    131. The arrow labeled “C” is pointing to is the
    a. Thecal sac
    b. Cauda equana
    c. Lamina
    d. Conus
    C Lamina
  15. Image Upload 28
    132.The arrow labeled “D” is pointing to is the
    a. Thecal sac
    b. Spinous process
    c. Lamina
    d. Conus
    B Spinous process
  16. Image Upload 30
    133. The structure that the arrow labeled “A” is pointing to is the
    a. Mandibular condyle
    b. Articular disc
    c. Carotid artery
    d. Lamina
    B Articular disc
  17. Image Upload 32

    134. The arrow labeled “B” is pointing to is the
    a. Mandibular condyle
    b. Mandibular fossa
    c. Carotid artery
    d. Lamina
    A Mandibular condyle
  18. Image Upload 34
    135. The arrow labeled “A” is pointing to is the
    a. Thalmus
    b. Basal Ganglia
    c. Genu of the corpus collosum
    d. Head of the caudate nucleus
    D Head of the caudate nucleus
  19. Image Upload 36
    136. The structure labeled “A” is composed of
    a. Grey matter
    b. White matter
    c. Both a and b
    d. None of the above
    A Grey matter
  20. Image Upload 38
    137. The structure that the arrow labeled “B” is pointing to is the
    a. Thalmus
    b. Basal Ganglia
    c. Lateral Ventricle
    d. Head of the caudate nucleus
    A Thalmus
  21. Image Upload 40
    138. The arrow labeled “2” is pointing to is the
    a. Anterior cerebral artery
    b. Posterior cerebral artery
    c. Right middle cerebral artery
    d. Left middle cerebral artery
    C Right middle cerebral artery
  22. Image Upload 42
    139. The structure that the arrow labeled “A” is pointing to is the
    a. Common iliac artery
    b. Femoral artery
    c. Right external iliac artery
    d. Right internal iliac artery
    C Right external iliac artery
  23. Image Upload 44
    140. The structure that the arrow labeled “B” is pointing to is the
    a. Common iliac artery
    b. Femoral artery
    c. Right external iliac artery
    d. Left internal iliac artery
  24. D Left internal iliac artery
  25. Image Upload 46
    141 The arrow labeled “A” is pointing to is the
    a. Grey Matter
    b. White Matter
    c. Thalmus
    d. Choroid plexus
    A Grey Matter
  26. Image Upload 48
    142. The arrow labeled “B” is pointing to is the
    a. Grey Matter
    b. White Matter
    c. Thalmus
    d. Choroid plexus
    B White Matter
  27. Image Upload 50
    143. This image was likely acquired in the
    a. Axial plane
    b. Coronal plane
    c. Sagittal plane
    d. Oblique plane
    A Axial plane
  28. Image Upload 52
    144. This image was most likely acquired with a
    a. Short TR and a short TE
    b. Short TR and a long TE
    c. Long TR and a long TE
    d. Long TR and a short TE
    D Long TR and a short TE
  29. Image Upload 54
    145. The arrow labeled “A” is pointing to is the
    a. The lateral meniscus
    b. The medial meniscus
    c. The posterior cruciate ligament
    d. The anterior cruciate ligament
    C The posterior cruciate ligament
  30. Image Upload 56
    146. The structure that the arrow labeled “A” is pointing to is the
    a. Uterus
    b. Pubic Symphysis
    c. Bladder
    d. Rectum
    A Uterus
  31. Image Upload 58
    147. The arrow labeled “B” is pointing to is the
    a. Uterus
    b. Pubic Symphysis
    c. Bladder
    d. Rectum
    B Pubic Symphysis
  32. Image Upload 60
    148. The arrow labeled “C” is pointing to is the
    a. Uterus
    b. Pubic Symphysis
    c. Bladder
    d. Rectum
    C Bladder
  33. Image Upload 62
    149. The structure labeled as “D” is pointing to is the
    a. Body of the uterus
    b. Vagina
    c. Prostate gland
    d. Cervix of the uterus
    D Cervix of the uterus
  34. Image Upload 64
    150. The structure labeled as “E” is pointing to is the
    a. Myometrium
    b. Vagina
    c. Uterine cavity/Endometrium
    d. Cervix of the uterus
    C Uterine cavity/Endometrium
  35. Image Upload 66
    151. The structure that the arrow labeled “A” is pointing to is the
    a. Superior labrum
    b. Inferior labrum
    c. Posterior labrum
    d. Anterior labrum
    C Posterior labrum
  36. Image Upload 68
    152. The arrow labeled “B” is pointing to is the
    a. Superior labrum
    b. Inferior labrum
    c. Posterior labrum
    d. Anterior labrum
    D Anterior labrum
  37. Image Upload 70153-160 Name A through H
    • A Triangular fibrocartilage complex, B
    • Lunate bone, C Triquetral bone, D
    • Hammate bone, E Capitate bone, F
    • Trapezoid, G Trapezium, H Scaphoid
  38. Image Upload 72
    161. The structure that the arrow labeled “A” is pointing to is the
    a. Choroid pleuxus
    b. Anterior horn of the lateral ventricle
    c. Cerebral Aqueduct
    d. Aqueduct of Sylvius
    A Choroid pleuxus
  39. Image Upload 74
    162. The arrow labeled “A” is pointing to is the
    a. Parietal lobe
    b. Cerebellum
    c. Sylvian fissure
    d. Falx Cerebri
    C Sylvian fissure
  40. Image Upload 76
    163. The arrow labeled “A” is pointing to is the
    a. Ethmoid sinuses
    b. Maxillary sinuses
    c. Frontal Sinuses
    d. Naso-pharynx
    B Maxillary sinuses
  41. Image Upload 78
    164. The structure that “A” is pointing to is the
    a. Cerebral Aqueduct
    b. Thalmus
    c. Pons
    d. Mid brain
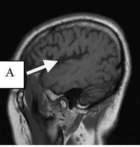
    A Cerebral Aqueduct
  42. Image Upload 80
    165. The structure that “B” is pointing to is the
    a. Pons
    b. Midbrain
    c. Thalmus
    d. Corpus collusum
    D Corpus collusum
Author
gbenning
ID
81020
Card Set
MRI
Description
Quiz
Updated