Path Pics

  1. Image Upload 2
    Thrombosis. Buerger disease
  2. Image Upload 4
    Alcohol induced fatty change of liver. Histology shows distended hepatocytes filled with fat. Cytoplasm appears to have vacoulation.
  3. Image Upload 6
    Lewy bodies as seen in parkinson's disease
  4. Image Upload 8urof
    Neurofibrillary tangles in Alzheimers disease. Due to the crumpling of neurofilaments that normally serve as support.
  5. Image Upload 10
    Mallory bodies seen in alcoholic hepatitis
  6. Image Upload 12
    Coagulative necrosis. Note the tombstone appearance of the cells due to the denaturation of enzymes and proteins while the cellular membrane remains intact. This is a renal infarct.
  7. Image Upload 14
    Myocardial Infarction. Tombstone appearance of coagulative necrosis
  8. Image Upload 16
    Liquefactive necroses and abcess formation. Due to focal bacterial or fungal infections or hypoxic cell death in the CNS.

    This pic is liquefactive mass in CNS
  9. Image Upload 18
    Dry Gangrene. Note the line of demarcation. Due to the progressive narrowing of blood vessels.
  10. Image Upload 20
    Wet gangrene
  11. Image Upload 22
    Granulomas see in caseous necrosis.
  12. Image Upload 24
    Fat necrosis. Pancreas with fat necrosis due to acute pancreatitis. Caused by consumption of high volumes of alcohol.
  13. Image Upload 26
    Fibrinoid necrosis due to immune complexes (Ag-Ab) that get deposited on blood vessel walls. Causes blockage of blood vessels and gross findings are areas of bright pink.
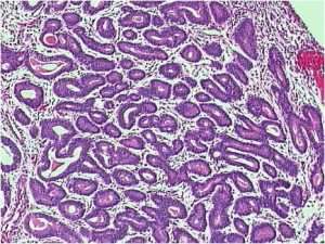
  14. Image Upload 28
    Prostate hyperplasia. Note the increase in the number of glands.
  15. Image Upload 30
    Normal endometrium. Note the gland/stroma ratio.
  16. Image Upload 32
    Endometrial hyperplasia. Note high number of glands
  17. Image Upload 34
    Xanthelasma due to the accumulation of cholesterol and cholesterol esters in marophages. See yellow to orange plaque like lesions.
Author
ebailey21
ID
35144
Card Set
Path Pics
Description
Pathology pictures
Updated